Cyborg and Bionic Systems:面向工具操作的触觉肌电假肢动态操作技能学习

机器人大讲堂

机器人大讲堂

2026年04月12日 20:04
本文共计3188个字,预计阅读时长11分钟。
来源/机器人大讲堂 责编/爱力方

近日,北京邮电大学方斌教授团队联合清华大学孙富春教授及武汉科技大学李公法教授团队在Cyborg and Bionic System期刊 (SCI 1区,影响因子18.1)上发表了题为“Dynamic Manipulation Skill Learning for Tactile Myoelectric Prosthetic Hands in Tool Handling”的研究论文。

该研究聚焦于高度复杂的工具交互场景,提出了一种基于人类技能迁移的多模态肌电假肢控制框架,旨在有效降低外部冲击导致的抓握不稳定性,进而提高工具操作的使用效率。该研究为提升截肢患者的日常生活独立性、促进其重返职场提供了重要的方法支撑 。

 

01.

研究背景:从“静态抓取”到“动态操作”的挑战

使用肌电假肢进行连续的工具操作远比离散的抓取任务复杂 。在使用如锤子、锯子等工具时,控制系统必须在不断变化的负载和难以预测的交互下保持稳定、自适应的协调运动 。

在人类的运动控制中,这种稳定性是通过生物感觉运动闭环来实现的,即触觉反馈不断调节神经信号以适应环境变化 。然而,传统的假肢控制方法在应对动态冲击或跟踪延迟时往往力不从心,容易导致工具滑落 。如何让假肢像人手一样具备动态操作技能,成为了本研究的核心出发点。

图1:多模态肌电假肢控制框架示意图。首先,大脑指令产生神经信号传递至手臂肌肉,进而生成表面肌电信号,原始表面肌电信号经采集与滤波处理以提升信号质量。处理后的信号输入分类器(a)以识别用户手势意图,触发预定义的假手工具抓取指令。在动态工具交互任务中,刚性冲击易导致假手抓握失稳(b)。为解决该问题,本研究针对高动态场景开发了仿生控制器(TKE-BGC)(c)。该控制器基于健全者操作工具时产生的肌电、触觉及关节角度数据进行训练(d)。当传感器检测到抓握失稳风险时,TKE-BGC利用截肢者的实时触觉、关节角度与肌电信号及时调整关节角度(e),从而稳定抓握状态并保持任务连续性。

02.

核心技术:TKE-BGC 多模态仿生抓取控制器

受人类神经肌肉调节机制的启发,研究团队设计了一种融合触觉、运动学和肌电信号的仿生抓取控制器(TKE-BGC)。

数据采集与人类技能转移:研究人员首先通过数据手套和肌电传感器,收集了健全人在工具操作过程中的多模态数据(包括触觉信号、关节角度和肌电数据)。这使得模型能够直接从人类真实的物理演示中学习,而非依赖于机器人操作数据。

网络架构:TKE-BGC 模型利用当前的物理状态主动检索并匹配用户的历史运动意图。利用真实的物理反馈来动态加权并过滤含有噪声的肌电信号,防止单一特征主导,从而在剧烈的动态干扰下依然能维持稳健的肌电驱动感知-动作关系 。

自适应反馈调节:当传感器检测到抓取不稳定的风险时,该控制器能够利用患者实时的触觉、关节角度和肌电信号及时调整关节运动,从而稳定抓取并维持任务的连续性。在实际部署中,闭环控制系统能以 10-15 Hz 的稳定频率运行,响应优于人类标准的感知运动反应时间,确保了截肢者在遭遇刚性冲击时,假肢能及时做出自适应的抓取调整 。

图2:TKE-BGC 的结构与训练、推演示意图。首先,通过集成数据手套和肌电传感器采集健全受试者执行敲击与锯切任务时的动作数据(a)。随后将该数据输入TKE-BGC模型进行训练(b)。TKE-BGC的输入包含P个历史状态,每个状态均由触觉、动觉与肌电数据构成。(c)TKE-BGC包含特征Transformer编码器和多层感知机,用于预测下一时刻的动作增量ΔJ。(d),训练完成的模型经推理部署,实现为截肢者用户提供假手的实时稳定抓握控制。

03.

实验验证:稳定与抗冲击表现

受试者与穿戴设置:实验共招募了7名健全者和3名经桡骨截肢者 。健全者佩戴3D打印的拓展肢接受测试,而截肢者则通过定制的接受腔连接智能手。

为了全面评估该框架的性能,研究团队设计了四类典型的工具操作任务:敲钉子、锯木头(已知任务),以及削皮切削、桌面整理(未知任务)。对比基线选用了目前业界主流的固定力策略(FiF)与力跟随策略(FoF)。

图3:工具操作实验设置示意图。(a) 健全与截肢者佩戴假手的场景。(b) 实验所用工具实物图。(c) 健全与截肢者执行四种工具操作任务的演示示例。

研究结果表明,与FiF和FoF基线方法相比,提出的 TKE-BGC 框架表现出显著的优势:

1. 极高的操作稳定性:在离线动作预测中,TKE-BGC 在受刚性冲击最严重的关节处,均方根误差显著低于其他方法 。在在线测试中,即便面对锤击等强烈的动态干扰,该框架的工具掉落次数也实现至最低水平,远优于另外两种方法 。

2. 显著提升的操作效率:得益于极低的掉落率和精准的抓取力,TKE-BGC 避免了反复重抓的冗余动作。数据证实,在所有测试任务中,其任务完成时间均最短,且与对比方法之间产生显著的统计学差异。

图4:四种工具操作任务中三种控制方法的评估指标对比。(a) 任务执行过程中工具掉落次数(均值+标准差)。(b) 任务完成时间对比。(c) 平均接触力,其中敲钉子与锯木头任务附有演示数据(浅黄色)作为参考基线。统计学显著性标记为p < 0.05。

3. 接近人类的力控水平:在敲钉和锯木任务中,TKE-BGC 施加的平均接触力分布与人类真实的演示数据实现了高度重合 。相比之下,FiF 和 FoF 常常因为反馈迟钝而出现受力过载或不足的问题。

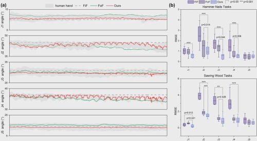
图5:三种控制方法的离线预测结果对比。(a) 敲钉子任务中(部分数据)关节运动曲线的可视化呈现。(b) 离线操作任务中均方根误差值的对比。

4. 有效降低用户操作负担:在评估肌肉做功负荷的平均肌电振幅指标上,以敲钉子任务为例,TKE-BGC 的振幅仅为0.0023,远低于 FiF 的0.0083和 FoF 的0.0124。意味着患者只需通过极少的肌肉发力,即可稳稳驾驭复杂操作任务。同时,在USE主管问卷调查中,该方法获得了用户的极高评价。

图6:用户工作负荷与主观评估结果。(a) 采用三种控制方法执行敲钉子任务时,基于部分操作数据的归一化肌电振幅分布统计。峰值越高表示肌电振幅分布越集中,而距离原点越远的分布则代表肌肉激活水平越高。(b) 两项未见操作任务的积分肌电值柱状图,其中“Ave”表示所有参与者的平均结果。(c) 两项已见操作任务的积分肌电值柱状图,包含个体与平均积分肌电统计值。“p < 0.05”表示具有统计学显著差异。(d) 用户USE问卷调查结果,涵盖可用性、易用性、易学性和满意度四个维度。

5. 触觉的关键作用:消融实验证实了在工具操作中,触觉反馈起着关键性的作用,而当三模态完全融合时,控制器达到了最佳的预测性能。

图7: TKE-BGC模型的消融研究结果。(a) 依次从模型中移除各输入模态后得到的验证损失。(b) 在各消融模型的预测性能对比。

04.

总结与展望

本研究成功构建了一个通过融合触觉、运动学和肌电信息来实现鲁棒性控制的假肢框架 。该框架能够通过快速的反馈机制调节抓取力,有效减轻因外部冲击带来的不稳定性 。

本研究不仅为跨人群的手部技能转移提供了一种仿生学途径 ,更在临床应用上展现出强大的潜力——研究有望大幅提升上肢截肢患者的日常生活自理能力,并为他们的职业康复与再就业提供强有力的技术保障 。

论文链接:

Li B, Wu S, You T, et al. Dynamic Manipulation Skill Learning for Tactile Myoelectric Prosthetic Hands in Tool Handling[J]. Cyborg and Bionic Systems, 2026.

DOI:https://doi.org/10.34133/cbsystems.0572

(通讯作者:方斌,邮箱:fangbin1120@bupt.edu.cn)

来源:Cyborg and Bionic Systems | 面向工具操作的触觉肌电假肢动态操作技能学习 | 机器人大讲堂

声明:本文来自机器人大讲堂,版权归作者所有。文章内容仅代表作者独立观点,不代表A³·爱力方立场,转载目的在于传递更多信息。如有侵权,请联系 copyright#agent.ren。

相关图文

热门资讯

推荐专栏

爱力方

爱力方

机器人前沿资讯及信息解读
机器人大讲堂

机器人大讲堂

中国顶尖的机器人专业媒体服务平台
关注爱力方,掌握前沿具身智能动态

© 2025 A³·爱力方

https://www.agent.ren/